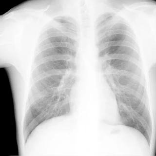
Легені без вогнищево - інфільтративних змін. Корені не змінені. Синуси вільні. Серце норма.
неділя, 15 червня 2025 р.
Флюорограма №46
Легені без вогнищево - інфільтративних змін. Корені не змінені. Синуси вільні. Серце норма. Сколіоз вправо.
Підписатися на:
Коментарі (Atom)

















































