РЕНТГЕНОЛОГІЯ
НОРМИ РЕНТГЕНОЛОГІЧНИХ ЗНІМКІВ
неділя, 15 червня 2025 р.
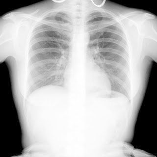
Флюорограма №18
Легені без вогнищево - інфільтративних змін. Корені не змінені. Синуси вільні. Серце норма.
Немає коментарів:
Дописати коментар
Новіша публікація
Старіша публікація
Головна сторінка
Підписатися на:
Дописати коментарі (Atom)
Немає коментарів:
Дописати коментар