РЕНТГЕНОЛОГІЯ
НОРМИ РЕНТГЕНОЛОГІЧНИХ ЗНІМКІВ
субота, 5 липня 2025 р.
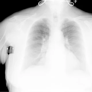
Флюорограма №86
Легені без вогнищево - інфільтративних змін. Корені ущільнені. Синуси вільні. Серце розширене. Праворуч тінь від милиці.
Новіші публікації
Старіші публікації
Головна сторінка
Підписатися на:
Коментарі (Atom)