РЕНТГЕНОЛОГІЯ
НОРМИ РЕНТГЕНОЛОГІЧНИХ ЗНІМКІВ
понеділок, 23 червня 2025 р.
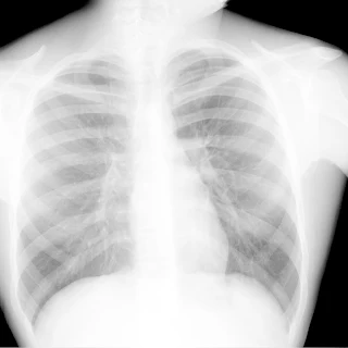
Флюорограма №74
Легені без вогнищево - інфільтративних змін. Корені не змінені. Синуси вільні. Серце норма.
Новіші публікації
Старіші публікації
Головна сторінка
Підписатися на:
Коментарі (Atom)